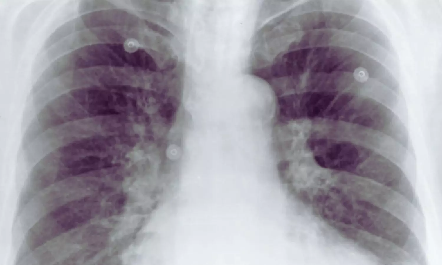
Finland: Aortic calcifications (ACs) visible on routine chest radiographs may signal worse survival prospects for patients undergoing minor lower limb amputation, a study published in JVS: Vascular Insights has shown.The research, led by Miska Vuorlaakso from the Faculty of Medicine and Health Technology at Tampere University, Finland, suggests that this simple imaging finding could serve as an important prognostic marker in a high-risk vascular population.The investigators conducted a single-center, retrospective observational study involving 383 patients who underwent minor amputations below the ankle between 2007 and 2020. All participants had received an upright anteroposterior chest x-ray within three months before surgery. The amputations were performed primarily due to complications of peripheral arterial disease and diabetes—conditions strongly linked to systemic atherosclerosis.Two researchers independently reviewed the preoperative chest radiographs to determine the presence and extent of aortic calcifications. Calcifications were graded using three classification systems—the Symeonidis system, the Tian system, and a newly introduced AV classification—categorizing findings as none or mild, moderate, or severe based on the size and distribution of calcified deposits. Severe calcification was defined as circumferential or near-circumferential involvement of the aorta. The study led to the following findings:A total of 62.1% of patients had detectable aortic calcifications on preoperative chest x-ray.Severe AC was present in 21.9% of patients.In unadjusted analyses, severe AC was associated with more than a threefold increased risk of poorer overall survival (HR 3.165).Severe AC was linked to nearly threefold higher risk of reduced amputation-free survival (HR 2.972).Severe AC was also associated with a significantly increased risk of impaired leg salvage (HR 2.495).After adjustment for other variables, severe AC remained significantly associated with worse overall survival and amputation-free survival.The association between severe AC and leg salvage did not remain significant in multivariable analysis.The overall presence of ACs was associated with poorer overall survival (HR 1.669).The presence of ACs was also linked to reduced amputation-free survival (HR 1.587).Lower extremity amputation represents a serious and increasingly frequent complication of advanced peripheral arterial disease and diabetes, often accompanied by diminished quality of life and elevated mortality risk. The high prevalence of aortic calcifications observed in this cohort reflects widespread systemic atherosclerosis, which may contribute to adverse outcomes after surgery.The authors emphasize that chest radiography is inexpensive, widely available, and routinely performed before surgery. Recognizing aortic calcifications on these images could therefore enhance preoperative risk assessment without requiring additional testing. Incorporating this readily identifiable marker into clinical decision-making may help clinicians better stratify risk and tailor treatment strategies for patients facing limb-threatening conditions.Reference:Vuorlaakso, M., Kaartinen, I., Hirvonen, J., & Arponen, O. (2026). Aortic calcifications on chest radiographs associated with survival after lower extremity minor amputation. JVS-Vascular Insights, 100373. https://doi.org/10.1016/j.jvsvi.2026.100373
