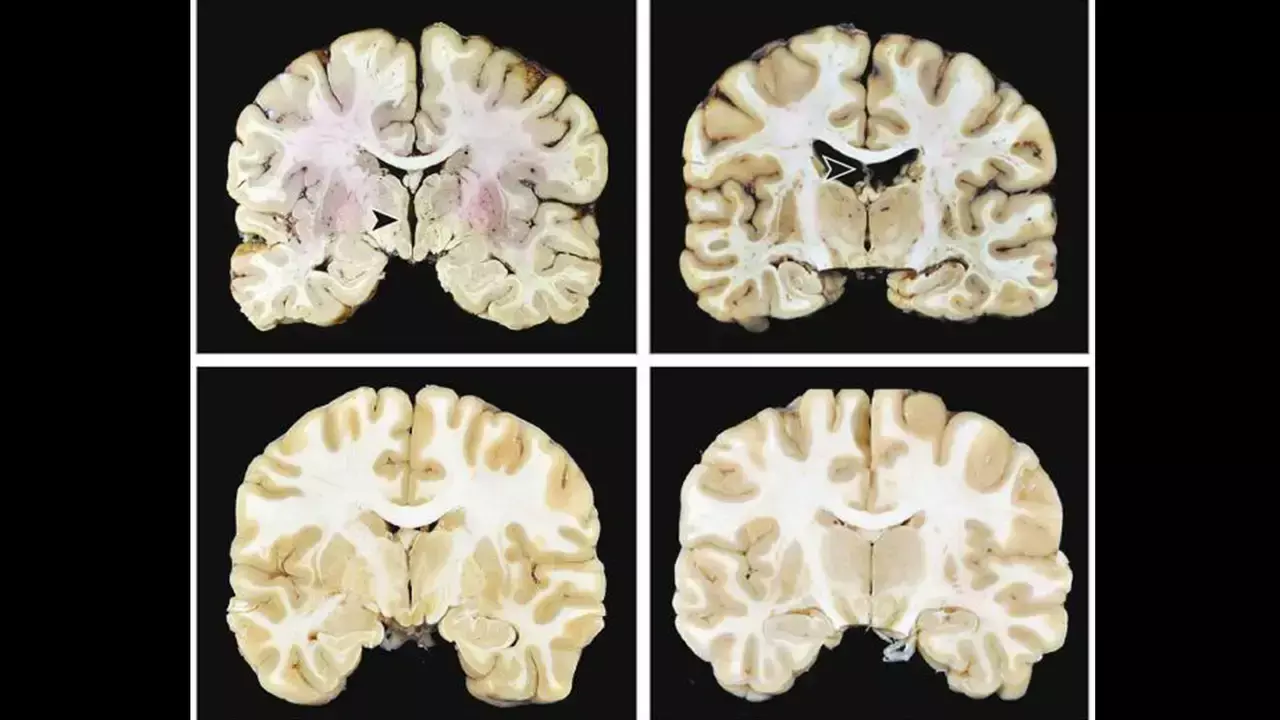
Researchers have found in a large autopsy study of brain donors that without other progressive neurodegenerative diseases, stage III and IV chronic traumatic encephalopathy were associated with significantly higher odds of dementia. In contrast, early-stage (I–II) chronic traumatic encephalopathy showed no association with cognitive symptoms or dementia, indicating that dementia risk rises with advanced chronic traumatic encephalopathy pathology.This studyexamined the independent contribution of chronic traumatic encephalopathy (CTE) neuropathology to symptoms. The sample included 614 brain donors with (n = 366) and without (n = 248) autopsy-confirmed chronic traumatic encephalopathy. Brain donors with other major neurodegenerative disease diagnoses were excluded. Informants completed cognitive and neuropsychiatric measures. Dementia was determined during diagnostic consensus conferences. chronic traumatic encephalopathy stage IV (of IV) was associated with 4.48 (95% confidence interval [CI] = 1.97–10.90) increased odds of having dementia. chronic traumatic encephalopathy stage III had an odds ratio of 2.12 (95% CI = 1.91–3.77). A higher chronic traumatic encephalopathy stage was associated with greater informant-reported cognitive symptoms (p < 0.01). There were no associations with mood/behavioural scales. Chronic traumatic encephalopathy stage III/IV neuropathology was associated with dementia and cognitive symptoms: those with stage IV were 4.5 times more likely to have dementia than those without chronic traumatic encephalopathy. It is uncertain if low-stage chronic traumatic encephalopathy clinically manifests, and mood/behavioural symptoms likely have multifactorial causes and/or a fluctuating course.Stage III and IV chronic traumatic encephalopathy (CTE) are independently associated with increased odds of having dementia. Thus, to conclude a higher chronic traumatic encephalopathy stage was associated with greater informant-reported cognitive symptoms.Stage I and II chronic traumatic encephalopathy were not associated with cognitive symptoms or dementia. Chronic traumatic encephalopathy of any severity was not associated with informant-reported mood or behavioural symptoms.Reference:Layden RM, Groh JR, Miner AE, et al. CTE neuropathology alone is associated with dementia and cognitive symptoms. Alzheimer’s Dement. 2026; 22:e71032. https://doi.org/10.1002/alz.71032Keywords:Layden RM, Groh JR, Miner AE, CTE, neuropathology, alone, associated, dementia, cognitive symptoms
